Válvula aórtica bicúspide displásica e insuficiencia aórtica severa.
50 años disnea de esfuerzo, soplo sistólico Aórtico 2/6 + soplo holo diastolico, válvula aortica bicúspide con marcada displasia y asimetría de sus valvas.
Leer más
Casos clínicos cardiovasculares de pacientes del centro
50 años disnea de esfuerzo, soplo sistólico Aórtico 2/6 + soplo holo diastolico, válvula aortica bicúspide con marcada displasia y asimetría de sus valvas.
Leer másFecha: Mayo s.21 2020
Autor: Dr. Bassino
Paciente de 63 años de edad, múltiples ATC previas. Episodio de presincope precedido de dolor torácico difícil de precisar. Interesantes los hallazgos del cambio de patrón de la función diástolica ante el mínimo esfuerzo 300 kgm. Pasando de alteración de la relajación (e/A) a patrón restrictivo severo (E/a Mitral mayor a 3 ) con E/e’ de 8 a 20...
Leer másFecha: Abril s.17 2020
Aparato: ECO stress
ECO pulmonar
Autor: Dr. Bassino
Paciente de 88 años de edad, disnea progresiva de 10 días de evolución, edemas severos de miembros inferiores. Síncope. No consulto por temor ante pandemia. SS EY AO 3/6. Estenosis aortica severa gradiente pico 95 mm hg ; medio 66 mmhg. Area 0.3 cm2. Fey 60 :/
Leer másFecha: Abril s.16 2020
Aparato: ECO doppler
Autor: Dr. Bassino
Paciente de 42 años de edad, en seguimiento por cardiopatía congénita desde los 3 años de edad. Comunicación Interventricular (CIV) perimembranosa con muy buena evolución. Asintomático. En ECO de control evolutivo se detecta un CIV subaórtica perimembranosa de 3 mm de diámetro con un gradiente de 120 mm hg y una dilatación proximal de la aorta con una dilatación de apre dominio de Seno de Valsalva derecho y dilatación de la raiz de la aorta.
Leer másFecha: Dic. 2019
Aparato: ECO doppler
Autor: Dr. Bassino
Paciente de 17 años cursando embarazo de 32 semanas en Scan fetal ginecológico se detecta órganos en posición extraabdominal, derivada para Eco Doppler cardíaco fetal para descartar patología cardíaca, observándose CIV subaortica con cabalgamiento sobre la aorta. Relación Doppler fetal entre Arteria Cerebral media y umbilical normal: mayor a 1.
Leer másFecha: Nov. 2019
Aparato: ECO doppler
Autor: Dr. Bassino
Paciente de 56 años de edad, sin antecedentes patológicos que consulta en nuestro centro a la Dra. Barr por episodio sincopal mientras se encontraba en baile.
TA : 120-80 mm hg. No soplos. Pulsos y pulmones normales. ECG normal. Afebril.
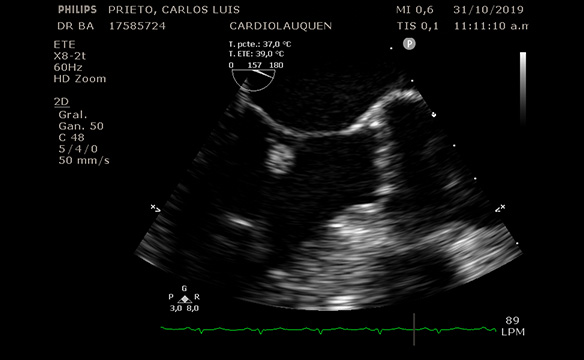
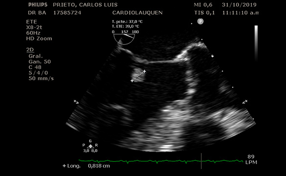
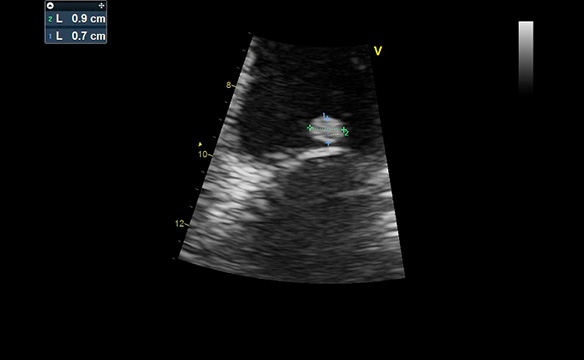
ECO DOPPLER y ETE, equipo Phillips 3D (Dra. Barr y Tec. En imágenes Lucia Vacas): imagen en Valva Mitral redondeada de 0.8 mm, muy móvil, sin compromiso de ecoestructura Mitral luego fue evaluado en consulta con Dr. Avegliano, confirmando la sospecha de que por las características de dicha masa puede corresponder a Fibroelastoma Papilifero. Dada la alta incidencia de embolia, se envía a Cirugía Cardiovascular.
Fecha: Nov. 2019
Aparato: Eco Doppler/ETE
Autor: Dra. Barr
Caso de nuestra Institución Paciente de 23 años de edad, con antecedentes no claros de Trombofilia (2 episodios de Trombosis venosa previos hace 1 año).
Se interna por Síndrome Febril 38 grados de 48 hs de evolución. Buen estado gral, lúcida. Soplo sistólico en punta 1/6.
Hemocultivos en marcha.
Se realiza ETE ( Dr. Avegliano / Dr. Bassino)
ETE 3 D: Endocarditis valvular mitral con vegetaciones en ambas valvas en punto de coaptación con infiltración valvar que condicionan insuficiencia mitral severa.
VI hiperdinamico con función sistólica conservada. Función sistólica VD conservada. Hipertensión pulmonar moderada.
Se deriva a Hospital Austral donde se realizó Reemplazo Valvular Mecánico (Dr. Vaccarino).
Fecha: Oct. 2019
Aparato: Ecógrafo 3D/4D
Autor: Dr. Avegliano / Dr. Bassino
Caso de nuestra Institución donde se visualiza la Arteria y el flujo de la Arteria Coronaria descendente Anterior. Nótese el flujo en diástole tanto en el espectro color como en el Doppler. De suma utilidad para complementar estudios de Stress para valorar reserva coronaria.
TurnosFechan: Set. 2019
Aparato: Ecógrafo 3D/4D
Autor: Dr. Bassino
Paciente de nuestro Centro de Diagnóstico. Masculino. 63 años. Múltiples vegetaciones aórticas en válvula con estenosis aórtica severa fibrocalcica, tricúspide. Hemocultivo: stereptococo Viridians.
TurnosFechan: Agosto 2019
Aparato: Ecógrafo 3D/4D
Autor: Dr. Bassino
Paciente de nuestro Centro de Diagnóstico. Masculino. 63 años. Múltiples vegetaciones aórticas en válvula con estenosis aórtica severa fibrocalcica, tricúspide. Hemocultivo: stereptococo Viridians.
TurnosFechan: Agosto 2019
Aparato: Ecógrafo 3D/4D
Autor: Dr. Bassino
Imagenes HD, de alta calidad. Este caso que observamos es de un paciente de nuestro Centro de Diagnóstico Cardiovascular Trenque Lauquen
TurnosFechan: Mayo 2019
Aparato: Ecógrafo 3D/4D
Autor: Dr. Bassino
Imagenes HD, de alta calidad. Este caso que observamos es de un paciente de nuestro Centro de Diagnóstico Cardiovascular Trenque Lauquen
TurnosFechan: Mayo 2019
Aparato: Ecógrafo 3D/4D
Autor: Dr. Bassino
Imagenes HD, de alta calidad. Este caso que observamos es de un paciente de nuestro Centro de Diagnóstico Cardiovascular Trenque Lauquen
TurnosFechan: Mayo 2019
Aparato: Ecógrafo 3D/4D
Autor: Dr. Bassino
Imagenes HD, de alta calidad. Este caso que observamos es de un paciente de nuestro Centro de Diagnóstico Cardiovascular Trenque Lauquen
TurnosFechan: Mayo 2019
Aparato: Ecógrafo 3D/4D
Autor: Dr. Bassino
Imagenes HD, de alta calidad. Este caso que observamos es de un paciente de nuestro Centro de Diagnóstico Cardiovascular Trenque Lauquen
TurnosFechan: Mayo 2019
Aparato: Ecógrafo 3D/4D
Autor: Dr. Bassino
Imagenes HD, de alta calidad. Este caso que observamos es de un paciente de nuestro Centro de Diagnóstico Cardiovascular Trenque Lauquen
TurnosFechan: Mayo 2019
Aparato: Ecógrafo 3D/4D
Autor: Dr. Bassino
Imagenes HD, de alta calidad. Este caso que observamos es de un paciente de nuestro Centro de Diagnóstico Cardiovascular Trenque Lauquen
TurnosFechan: Mayo 2019
Aparato: Ecógrafo 3D/4D
Autor: Dr. Bassino